Tooth-Coloured Fillings
Any surgical or invasive procedure carries risks. Before proceeding, you should seek a second opinion from an appropriately qualified health practitioner.
For some, the appearance of conventional amalgam (metal) fillings is unattractive. They are noticeable when you smile and can cause your teeth to appear discoloured.
If you need a filling but don’t want it to be visible, tooth-coloured composite fillings can be an appealing alternative. Composites can also be used for minor reshaping of chipped teeth or to fill small gaps between teeth to give you a more even, appealing smile.
What Is a Composite Filling?
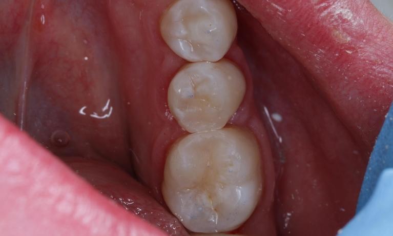
Composite fillings are usually formed using a mixture of resins, fillers, and colourants, and applied to the tooth in layers and “cured". Unlike silver amalgam fillings, composites can be made to match the colour of your natural teeth.
Since the composite bonds directly to your tooth, these fillings require less removal of healthy tooth structure, which leaves more remaining tooth structure intact. Composite fillings are also less susceptible than metal fillings to cracking and chipping due to temperature changes in your mouth.
How Is a Composite Filling Placed?
To place a composite filling, the dentist will numb the area if necessary and remove any decay. The remaining tooth structure is then etched to create a rough surface for bonding the composite.
The dentist will match the colour of your natural tooth and mix up a composite that is then applied in layers and cured between each layer. Once built up, the filling will be shaped to contour to your bite and look natural and then polished smooth.
Why Choose Composite?
Composite fillings offer a better aesthetic than metal fillings. They can also act more like natural tooth structure, helping to avoid fractures due to uneven stress when biting.
Contact our clinic to arrange an examination or for enquiries regarding tooth-coloured composite fillings.

